Topへ戻る

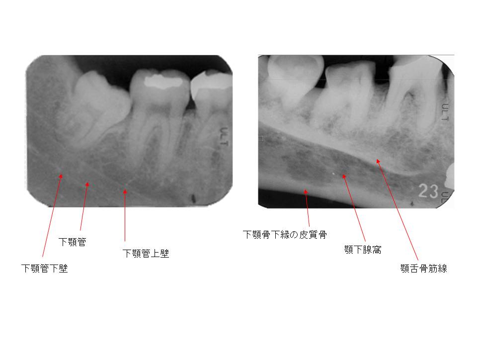
口内法(二等分法・咬合法)撮影の解剖